
Automatic Non-Mydriatic Retinal Camera
NFC-700
With automatic 3D tracking and focusing, retinal images can be captured by single tap.
Features
3D Auto Tracking: Auto tracking and auto alignment by simply one tap on the pupil.
Touch Screen: Easy to operate. Able to zoom in and out to see the details.
Montage: Up to 3 images to be expand the views to 85 degree.
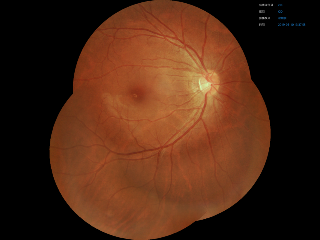
High Quality Retinal Image
With high resolution of 12 million pixels, NFC-700 provides retinal diagnostic staff and AI systems more precise and helpful information, which increases diagnostic accuracy and efficiency.


Montage Feature
NFC-700 provides multi-image mosaics for doctors to see the broader view of patients’ retina.
Built-In Filters
NFC-700 provides red-free, negative film, RGB, grey scale filters for users to change or apply photo effects to the image for different purposes.


Large 10.1” Touch Screen
Touch panel is easy to control. Image details could be seen and checked more directly and precisely through large screen.
10 Selectable Fixation Targets
Ten internal fixation targets are selectable. The disc, fovea, macular, or other peripheral retina areas can be captured by selecting the specified fixation.


Cup-to-Disc Ratio Calculation
The system automatically calculates the C/D ratio after cup and disc are marked, which helps doctors to detect glaucoma or other abnormality.
Cornea Image
With manual mode, NFC-700 can capture cornea images for doctor to examine the cornea, iris, ciliary body and sclera.


Image Comparisons
Users are able to choose different periods or angles of photos to compare.
Specification
| Model Name: NFC-700 | |
|---|---|
| Type | Digital non-mydriatic retinal camera |
| Type of photography | Color, digital red-free, anterior eye image |
| Image format | JPEG, PNG, DICOM (optional) |
| Field of view | 45 degrees |
| Min. pupil size | 4.0 mm |
| Working distance | 25 mm |
| Focus adjustment range | -15D to +10D (without compensation lens) |
| Focus adjustment range | -30D to -10D or +5D to +30D (with compensation lens) |
| Flash intensity | 10 levels, can be set manually |
| Light source | Observation light source: Infrared LED, Flash light source: White LED |
| Image | 12 MP |
| Auto exposure | Yes |
| Eye fixation | Internal 10 points |
| Alignment | Automatic 3D tracking |
| Chinrest | Motorized |
| Interface | USB2.0, Ethernet, HDMI |
| Power supply | AC 100V to 240V, 50/60 Hz, auto selected |
| Operating Environment | Temperature: 10℃ to 35℃ ; Humidity: 30% to 90% (no condensation) |
| Dimensions (WxDxH) | 282 mm x 485 mm x 492 mm |
| Weight | 17Kg |
